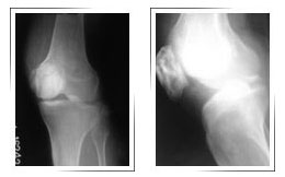
Before Surgery
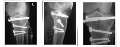
After Surgery
Before surgery X-ray
Before surgery 3-DCT
After Surgery X-ray
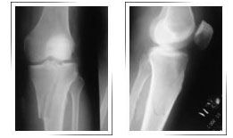
Function After Surgery
Before Surgery
During Surgery
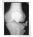
Removed piece of the lateral condyle
Implant with metal wedge
Removed piece of the lateral condyle